Original Article
Fine Needle Aspiration Cytology (Fnac) of Lymphnodal Swellings At a Tertiary Care Center- A One Year Prospective Study
Sushma V V1, *Anjana Priyanka A2, Asha T3
1Postgraduate, 2Assistant professor, 3Professor and HOD, department of pathology, ASRAM Medical college, Eluru
*Corresponding Author :
Dr Anjana Priyanka,
Assistant professor, Department of pathology,
ASRAM Medical college, Eluru, W.G.Dist, A.P. India.
Email : anjana_aluri@yahoo.com
Phone : 9493376645
ABSTRACT
Introduction:Fine Needle Aspiration Cytology (FNAC) is the first line of investigation in lymphadenopathy. It is simple, rapid, reliable, minimally invasive and cost effective procedure and done in outpatient setting.
Materials & methods
A Prospective study of 150 cases presenting for one year from May 2016 to April 2017. FNAC was performed using 22-24gauge needle. Slides were stained with hematoxylin & eosin, papanicolaou stain and with May- Grunwald Giemsa and Zeil-neelson stain when required.
Results
Most common cytological diagnosis include Tuberculous lymphadenitis comprising 36%, followed by Reactive lymphadenitis 32.7%. Metastatic deposits were seen in 12.8%.
Conclusion
FNAC is a safe, feasible and dependable method for rapid cytodiagnosis during initial assessment of patients who presents with lymphadenopathy. It not only helps in ascertaining the future mode of treatment but also alleviates the anxiety of the patient and due to lack of complications with excellent results it forms a useful prime of investigation in the management of patient.
Keywords: Lymph node, FNAC, Lymphadenopathy
Introduction
Fine Needle Aspiration method was portrayed surprisingly by Greig and Gray in 1904. From mid 1960's, it has been progressively utilized and a high level of precision has been accomplished1. Lymphadenopathy in head and neck region have wide spectrum etiology and vary from benign reactive hyperplasia, tubercular lymphadenitis, granulomatous lymphadenitis to metastatic deposits or lymphomas.
Lymphadenopathy is one of the major clinical presentations with variable etiologies and is one of the important cause of morbidity2. Enlarged lymph nodes were first organ to be biopsied by fine needle aspiration; today they are frequently sampled tissues3. The cytomorphological features obtained in fine needle aspiration cytology correlate very well with histologic appearances of same lesion and in some situations has qualities of microbiopsy4. It is a valuable tool for diagnosis of neoplastic,inflammatory, infectious and degenerative conditions in which sample can be used for microbiological and biochemical analysis in addition to cytological preparations as it is economical, safe, relatively painless, simple, rapid and convenient alternative for open biopsy5. The present study was undertaken to study the role of FNAC in evaluation of lymphnodal disorders and different cytomorphological patterns of lymphadenopathy in our instiute which is a peripheral center.
Aims and Objectives:
To study the usefulness of fine needle aspiration cytology in diagnosing various lymphnodal lesions and also to study morphological patterns of various lymphnodal lesions.
Materials & Methods:
The study comprises of aspirates from lymphnodes of different patients presenting to our hospital during a period of one year from May 2016 to April 2017.It consists of total of 150 aspirates. FNAC was performed using a 23G needle and 4 slides were prepared. 2 slides were alcohol fixed and stained with Hematoxylin & Eosin and Papanicolaou stain. One slide was air dried and was stained by May-Grunwald Giemsa stain. One slide was left unstained for performing special stains like Ziehl- Neelson stain and Periodic Acid Schiff (PAS) stain wherever necessary.
Results:
We carried out the study on 150 patients who presented with lymphadenopathy on an OPD or IPD basis to our hospital.Out of 150 cases, diagnosis was offered in 97.4% (n=146) cases whereas it was unsatisfactory in 2.6%(n=4) cases leading to a high sensitivity of the technique. Out of the 150 patients, Males were 56.67% (n=85) and females were 43.33% (n=65) . M: F ratio -1.3:1. Most common age distribution is 11-20yrs and least in 71-80yrs.Out of 150 cases cytological diagnosis was non-neoplastic in 122 cases, neoplastic in 24 cases and unsatisfactory in 4 cases(Table:1). The distribution of cases in non neoplastic lesions ( n=122) is tuberculous lymphadenitis in 54(36%) lesions, Reactive non specific in 49(32.7%)cases, Acute suppurative lymphadenitis in 10(6.6%) cases, Granulomatous lymphadenitis in 9(6%) cases(Table:2). The distribution of cases in neoplastic lesions(n=24) is Metastatic deposits in 19 (79.16%) cases and Lymphoma in 5(20.84%) cases(Table:4). Distribution of various tumors found as metastatic deposits in lymphnode are Squamous cell carcinoma in 8(42.17%) cases, Adenocarcinoma in 3(15.78%), Papillary carcinoma of thyroid deposits in 3(15.78%),Duct cell carcinoma of breast deposits in 2(10.54%), Undifferentiated tumors in 3(15.78%)(Table:3).
Table :1 Cytological distribution of lymphnodal swellings
| CYTOLOGICAL CATEGORY | SNO.OF CASES | PERCENTAGE |
| Non-neoplastic lymphadenopathy | 122 | 81.33% |
| Neoplastic lesions | 24 | 16% |
| Inadequate | 4 | 2.67% |
| TOTAL | 150 | 100% |
Table:2 Distribution of cases in non-neoplastic lesions
| FNAC DIAGNOSIS | NO.OF CASES | PERCENTAGE |
| Reactive non specific | 49 | 32.7% |
| Tuberculous lymphadenitis | 54 | 36% |
| Acute suppurative lymphadenitis | 10 | 6.6% |
| Granulomatouslymphadenitis | 9 | 6% |
| Total | 122 | 100% |
Table:3 Distribution of various tumors found as metastatic deposits in lymphnode
| Adenocarcinoma | 3(15.78%) |
| Squamous cell carcinoma | 8(42.12%) |
| Papillary carcinoma of thyroid | 3(15.78%) |
| Duct cell carcinoma of breast | 2(10.54%) |
| Undifferentiated tumors | 3(15.78%) |
Table:4 Distribution of cases in Neoplastic lesions
| FNAC DIAGNOSIS | NO.OF CASES | PERCENTAGE |
| Metastatic deposits | 19 | 79.16% |
| Lymphoma | 05 (3 NHL & 2 HL) | 20.84% |
| Total | 24 | 100% |
Discussion:
The experiment of fine needle aspiration (FNA) developed gradually, until 1921, when Guthrie tried to correlate FNA results with various disease processes6. It was Dudgeon and Patrick in 1927, which first used FNAC in diagnosing tuberculous lymphadenitis7. Localized or regional lympadenopathy is defined as the enlargement of lymph nodes within contiguous anatomic regions. It is a clinical manifestation of regional or systemic disease and serves as an excellent clue to the underlying disease. Cervical lymphadenopathy may be the initial finding or may present later on with other symptoms. The location of the lymph node may play an additional role in securing diagnosis: In scalp infections, toxoplasmosis, inflammation of the outer ear and rubella, the (sub)occipital lymph nodes are often affected. Enlarged pre-auricular lymph nodes may indicate infections of the eyes (e.g. lid infections, conjunctivitis), ears, teeth or the parotid gland. Submental / submandibular lymph nodes are enlarged in infectious processes of the oral cavity, the nose, the maxillary sinus or the face. Lymphomas may appear practically anywhere but nevertheless often chiefly affect the lymph nodes along the jugular vein and in the occipital or supraclavicular regions. In relation to the supraclavicular lymph nodes, differential diagnosis should consider sarcoidosis and the albeit rare existence of lesions in the thorax and gastrointestinal tract.8
A fine-needle biopsy is an option if (i) several lymph nodes are suspicious, (ii) surgical dissection is associated with a high risk that can be eliminated by FNAC, (iii) sufficient expertise is available, and (iiii) the patient is in compliance (age of the patient). A round, firm, well-defined lymph node that is present for more than 8 weeks, or a lymph node that is fixed to the skin, deep anatomic planes, should be considered for FNA regardless of location, patient age, or symptoms. The most common causes of benign regional lymphadenopathy are viral, bacterial, or mycobacterial infections, depending on the world region. The value of FNAC , besides making a diagnosis,also lies in early direction of appropriate investigations and treatment9 . The criteria for diagnosing mycobacterial or tuberculous lymphadenitis are epitheloid granulomas, epiltheloid cells, langhan’s type giant cells, caseous necrosis, lymphocytes, plasma cells, sometimes neutrophils and acid fast bacilli on Z-N stainingM10,11. This study was undertaken in a peripheral center with 150 patients.
Age distribution:
Maximum age distribution in our study is in 11-20 yrs, which is in accordance with R.K. Narang et.al12 and Shakya G et al13. Contrary to this, in study of Bharadwaj K et al14, maximum number of cases were seen in 0-10 years age group.
Gender distribution:
Male preponderance was observed in this study with a male : female ratio of 1.3:1. This matches with the studies of Hirachand et al15and Shakya G et al13 showed female preponderance. In comparison to this, females outnumbered males with a M: F ratio of 1:1.05 and 1:1.69, in study of Bharadwaj K et al and Dasgupta et al16, respectively. N.H.Hafez et al17,Saira Fatima et al18 and R.K. Narang et.al12 also showed female predilection.The reason of male preponderance in our study could be due to the lack of health awareness among women in this rural area.
Adequacy of material:
Adequate aspirate is indispensible for an accurate diagnosis. Adequate material was obtained in 97.4% of cases and inadequate in 2.6% of cases due to scant cellular yield or obscuring blood. This correlated with the study of Hemalatha et al19. and Gupta et al20. where the adequacy was documented in 98% and 96% respectively.
Cytological patterns:
Aspirates were benign in 81.33% cases; metastatic deposits were found in 12.66% and lymphomas in 3.33%. Similar findings were obtained by other authors21,22,23.
Benign Lymphadenopathies:
Among the 146 cases analysed 83.5% were non neoplastic lesions, which correlates with Hirachand et al15 which showed 81.70% cases as non neoplastic lesions.
Tuberculous lymphadenitis:
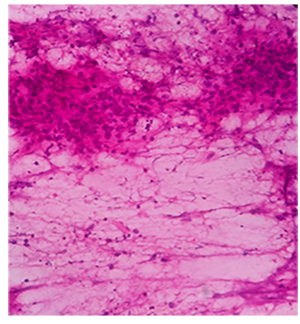
All cases of tuberculous lymphadenitis were diagnosed by above mentioned criteria (fig: 1). In the non neoplastic lesions the maximum no of cases were tuberculous lesions (36% cases), which is in accordance with J Balaji et al24 and Dasgupta et al16. In comparison, Chawla N et al showed a very low incidence of tuberculosis, i.e., 20.7%2. This is probably due to higher levels of health awareness and education in Karnataka. A significant number of our cases are due to treatment default.
Reactive Lymphadenopathies:
Reactive lymphadenopathy was seen in 49 cases (32.7%) which correlated with Ruchi Khajuria et al(37.2%)9. in contrary to our study, another study done by Shakya G et al13 reported 50.4% cases as reactive lymphadenitis and A study conducted by Paul P C et al reported 18.92% cases as reactivelymphadenitis25 and Saira Fatima et al(16.1%)18.
Suppurative Lymphadenitis:
Our study showed 10 ( 6.6%) cases of acute suppurative lymphadenitis, which is in accordance with studies done by Shakya et al it was 12.4%.13
Other Granulomatous Lymphadenitis:This study showed 9 cases (6%) of Granulomatous lymphadenitis other than tuberculosis.Most common etiology of is due to foreign body reaction in 4 cases followed by fungal infections in 2 cases, due to talc powder followed by FNAC in 1 case and leprosy in 2 case. Negative Z-N stain and negative mantoux reaction in all the patients has ruled out the diagnosis of Tuberculosis.
Neoplastic lesions:
In neoplastic lesions, metastatic deposits were seen in 19 (12.66%) cases which coincides with Ghartimagar D et al which showed 18%26.
Squamous Cell Carcinoma:
SCC deposits were sen in 42.12% of cases which is in concordance with study of Adhikari R C et al (41%)27 and Dasgupta et al16 in which squamous cell carcinoma contributed to maximum number of cases(fig:2). The primary sites of origin are malignancies of head and neck region. This was most common malignancy in our study.
Adenocarcinoma:
Adenocarcinoma was diagnosed in 15.78% of cases which is in comparision with study of Swapnil et al which showed 12.5 % cases as adenocarcinoma. The primary sites of origin are malignancies of stomach, breast and lung
Lymphomas
In neoplastic lesions, Lymphomas account for 3.33% cases which is in accordance to Ruchi Khajuria9 and A R Khan et al28.The Non hodgkins lymphoma corresponds to 60%cases and Hodgkins lymphomas in 40% of cases (fig:3). This correlates with study of Anne R. Wilkinson et al29 and Ruchi Khajuria9 .
Conclusion:
Lymphnodes are superficial, easily accessed, safely aspirated and no follow up examination or any therapy required following procedure. FNAC not only helps in ascertaining the future mode of treatment but also alleviates the anxiety of the patient and due to lack of complications with excellent results it forms a useful prime of investigation in the management of patient.The overall diagnostic accuracy was 97.4% and it is unsatisfactory in only 2.6% cases.Z-N stain done in cases with granulomas,necrosis or suppuration is highly valuable for routine diagnosis of Tuberculosis.In the present study 36% of cases were diagnosed as Tuberculosis which revealed the burden of Tuberculous lymphadenitis in this region.FNAC also plays an important role in the diagnosis of lymphnode malignancies which accounted for 16% in the present study thus helped in early diagnosis.Thus fine needle aspiration cytology is easy,safe,quick procedure convenient to perform with minimal invasiveness and early availability of results.It helps clinician in confirmation and early detection of lesion.
References
- Frable WJ, Frable MA. Fine Needle Aspiration Biopsy revisited. Laryngoscope. 1982;92 (2): 1414.
- Chawla N., Nandini N.M. — FNAC in lymph node disorders - A hospital study in Southern India. J Cytol. 2007; 24(2): 105-107.
- Lambert Shoog, Torsten Low Hagen and Edina Taani: Lymph Node , In Winfred Gray:Diagnostic Cytopathology, Honkong, Churchill Livingstone;1995;3:479-526.
- S Shamsad Ahmad, Akhtar Shakeel et al. Study of Fine Aspiration Cytology in Lymphadenopathy with special reference to Acid Fast Staining in cases of Tuberculosis. JK Science 2005;7(1),1-4.
- MalakarD , Jajoo ILN, Swarup K,Gupta OP, Jain AK, Poflee VW. A clinical evaluation of Fine needle aspiration cytology in the diagnosis of lymphadenopathy. Ind. J. Tub. 1991;38:9-17.
- Guthrie CG: Gland puncture as a diagnostic measure. Bull Johns Hopkins Hosp 1921;32:266 9.
- Singh JP, Chaturvedi NK, Das A. Role of fine needle aspiration cytology in the diagnosis of tubercular lymphadenitis. Indian J Pathol Microbiol 1989;32:100 4.
- Ghirardelli ML, Jemos V, Gobbi PG. Diagnostic approach to lymph node enlargement. Haematologica. 1999 Mar;84(3):242–247.
- Ruchi Khajuria, K. C. Goswami, K. Singh, V. K. Dubey. Pattern of Lymphadenopathy on Fine Needle Aspiration Cytology in jammu. J K Science 2006;8(3):157-159.
- Nancy P. Caraway, Ruth L. Katz. Lymph nodes. In: Koss, Leopold G.; Melamed, Myron R. (eds). Koss’ Diagnostic Cytology and its Histopathologic Bases. 5th Edition. Lippincott Williams & Wilkins;2006.p1187-1225.
- John Miliauskas. Lymph nodes,In: Svante R Orell, Gregory F Sterrentt (eds). Orell Sterrentt’s Fine needle aspiration cytology 5th edition. India: Elsevier;2012.p77- 112.
- R.K. Narang, S. Pradhan, R.P. Singh and S. Chaturvedi. Place of fine needle aspiration cytology in the diagnosis of lymphadenopathy. Ind. J. Tub 1990; 37(1):29-31.
- Shakya G, Malla S, Shakya KN, Shrestha R.A Study of FNAC of Cervical Lymphnodes. J Nepal helath res counc 2009;7(4):1-5.
- Bharadwaj K., Bharadwaj B.I., Goyal T. — FNAC in lymph node disorders with special reference to tuberculosis. J Cytol. 2000;17:155-159.
- Hirachand S, Lakhey M, Akhter J, Thapa B. Evaluation of fine needle aspiration cytology of lymphnodes in Kathmandu Medical College, Teaching hospital. Kathmandu University Medical Journal 2009;7(2)26:139- 142.
- Dasgupta A., Gosh R.N., Poddar A.K., et al. — FNAC of cervical lymphadenopathy with special reference to tuberculosis. J Indian Med Assoc. 1994;92:44-46,.
- Nesreen H. Hafez, Neveen S. Tahoun. Reliability of fine needle aspiration cytology (FNAC) as a diagnostic tool in cases of cervical lymphadenopathy. Journal of the Egyptian National Cancer Institute 2011;23:105-114.
- Saira Fatima, Sidra Arshad, Zubair Ahmed, Sheema H Hasan. Spectrum of Cytological Findings in Patients with Neck Lymphadenopathy – Experience in a Teritiary Care Hospital in Pakistan. Asian Pacific Journal of Cancer Prevention 2011; 12: 1873-1875.
- HemalathaA, Udaya Kumar M, Harendra Kumar ML. Fine needle aspiration cytology of lymph nodes: A mirror in the diagnosis of spectrum of lymph node lesions. JClin Biomed Sci 2011;1:164 72.
- Gupta S, Rajak CL, Sood BP, Gulati M, Rajwanshi A, Suri S. Sonographically guided fine needle aspiration biopsy of abdominal lymph nodes: Experience in 102 patients. J Ultrasound Med 1999;18:135 9.
- Gupta AK, Nayar M, Chandra M. Reliability and limitations of fine needle aspiration cytology of lymphadenopathies. An analysis of 1,261 cases. Acta Cytol 1991;35:777 83.
- Patra AK, Nanda BK, Mohapatra BK, Panda AK. Diagnosis of lymphadenopathy by fine needle aspiration cytology. Indian J Pathol Microbiol 1983;26:273 8.
- Raghuveer CV, Pai MR, Manohar C. Role of FNAC in disorders of lymph nodes. J Cytol 1996;13:45 9.
- Balaji, S. Shanmuga Sundaram, S. Nataraja Rathinam, P. Amutha Rajeswari and M.L. Vasantha Kumari. Fine Needle Aspiaration Cytology in childhood TB Lymphadenitis. Indian Journal of Pediatrics 2009; Volume 76:1241-1246.
- Paul P C et al. Fine Needle Aspiration Cytology of Lymph Nodes-An Institutional Study of 1448 cases over a five year period. Journal of Cytology.2004;21(4):187-19083.
- Ghartimagar D, Ghosh a, Ranabhat S, Shrestha MK, Narasimhan R, Talwar OP. Utility of fine needle aspiration cytology in metastatic lymphnodes. Journal of Pathology of Nepal 2011;1:92-95
- Adhikari RC, Jha A, Sayami G, Shrestha S, Sharma SK. Fine needle aspiration cytology of palpable supraclavicular lymphnodes. Journal of Pathology of Nepal, 2011;vol 1:8-12
- 28. A.R. Khan, Shuab Omer , Sumia Rashid, Syed Besina. Fine needle aspiration; diagnosis of Nodal Hodgkin’s lymphoma (part ii). JK- Practitioner 2002; 9(4): 264-267
- Anne R. Wilkinson, Sadhana D. Mahore, Sabiha A Maimoon. FNAC in the diagnosis of lymph node malignancies: A simple and sensitive tool. Indian Journal of medical and pediatric oncology 2012;33(1):21-24.
